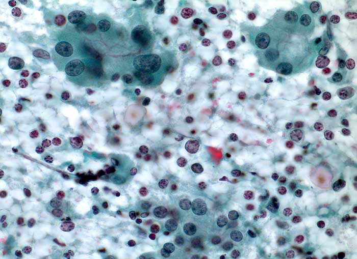
Frischgewebsabstrich Schilddrüse: Das sehr zellreiche Präparat erinnert an ein Lymphknotenpunktat. Es überwiegen Lymphozyten, vereinzelt auch Plasmazellen. Im Hintergrund onkozytäre Epithelien, die kleine Follikel bilden. Die Thyreozyten sind aktiviert und zeigen Atypien.
Klinik
Entzündliche Struma. Karzinom?
Kommentar
Die Differentialdiagnose gegenüber einem malignen Lymphom kann schwierig sein.