PathoPic – image database / PathoPic ID 6070 - Plattenepithelkarzinom

de
Diagnose
Plattenepithelkarzinom
Diagnose Gruppe
maligner Tumor
Topographie
Portio
Topographie Gruppe
Genitalorgane, weiblich
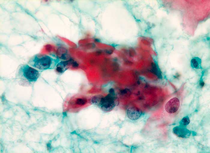
Beschreibung
Portio: Kleiner Verband deutlich atypischer Plattenepithelien. Diese besitzen eine erhöhte Kern-Plasmarelation mit grossen, polymorphen und hyperchromatischen Kernen mit vermehrt grob sturkturiertem und unregelmässig verteiltem Chromatin sowie einen grossen eosinophilen Nukleolus. Teils verhornendes eosinophiles Zytoplasma.
Zusatzbefund
Histologie: Plattenepithelkarzinom der Zervix
Klinik
Dauerblutung seit 2 Wochen, deutlich gefässinjizierte Ektopie, sofortige Kontaktblutung.
Bilder Typ
Zytologie
Vergrösserung
630
Alter
30
Geschlecht
unbekannt
Datum
Ersteintrag: 16.01.2003
Update: 04.02.2024