PathoPic – image database / PathoPic ID 6073 - schwere verhornende Dysplasie HSIL

de
Grad
Diagnose
schwere verhornende Dysplasie HSIL
Diagnose Gruppe
Präneoplasie/ Atypie/ Dignität?
Topographie
Portio
Topographie Gruppe
Genitalorgane, weiblich
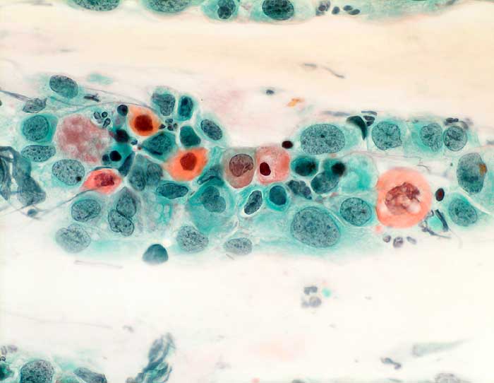
Beschreibung
Portioabstrich: Lockerer Verband atypischer Zellen mit stark vergrösserten Kernen. Diese besitzen eine vergröberte Chromatinstruktur, teils deutliche Unregelmässigkeiten der Kernmembran. Das Zytoplasma teils zyanophil, teils eosinophil als Zeichen der Verhornung.
Zusatzbefund
Mittelschwere Dysplasie bis Carcinoma in situ des Vaginalepithels (VAIN III)
Klinik
Hysterektomie vor 30 Jahren.
Bilder Typ
Zytologie
Vergrösserung
400
Alter
67
Geschlecht
unbekannt
Datum
Ersteintrag: 16.01.2003
Update: 04.02.2024