PathoPic – image database / PathoPic ID 6079 - Hashimoto Thyreoiditis

de
Diagnose
Hashimoto Thyreoiditis
Diagnose Gruppe
Systemerkrankung/Immunpathologie
Topographie
Schilddrüse
Topographie Gruppe
Endokrinium
Beschreibung
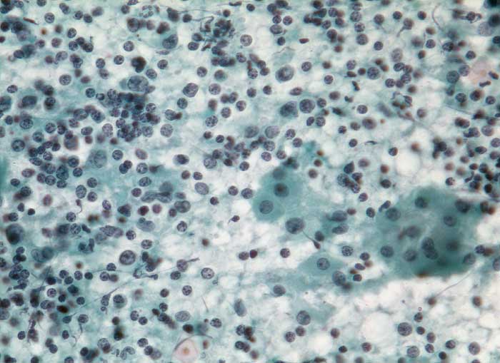
Frischgewebsabstrich Schilddrüse: Das sehr zellreiche Präparat erinnert an ein Lymphknotenpunktat mit kleinen und grösseren lymphoiden Zellen und vereinzelten Plasmazellen. Im Hintergrund onkozytär umgewandelte Epithelien mit breitem Zytoplasma und unterschiedlich grossen Kernen.
Klinik
Entzündliche Struma. Karzinom?
Kommentar
Die Differentialdiagnose gegenüber einem malignen Lymphom kann schwierig sein.
Bilder Typ
Zytologie
Vergrösserung
320
Alter
48
Geschlecht
männlich
Datum
Ersteintrag: 19.01.2003
Update: 04.02.2024