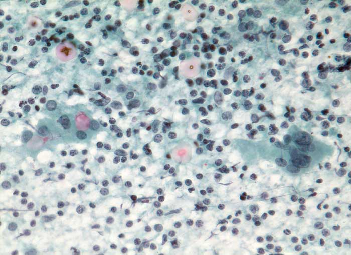
Frischgewebsabstrich Schilddrüse: Zahlreiche Lymphozyten. Onkozytäre Epithelien mit breitem Zytoplasma bilden Mikrofollikel, die wenig rotes Kolloid enthalten. Mehrkernige Riesenzelle.
Klinik
Entzündliche Struma. Karzinom?
Kommentar
Die Differentialdiagnose gegenüber einem malignen Lymphom kann schwierig sein.