Pathopic
HiPaKu
ZyPaKu
PathoBasic
PathoBasic Cytology
Quizzes
Projektinfos
PathoPic - Projekt- und Copyright-Infos
About
Pathopic
HiPaKu
ZyPaKu
PathoBasic
PathoBasic Cytology
Quizzes
PathoPic – image database
/
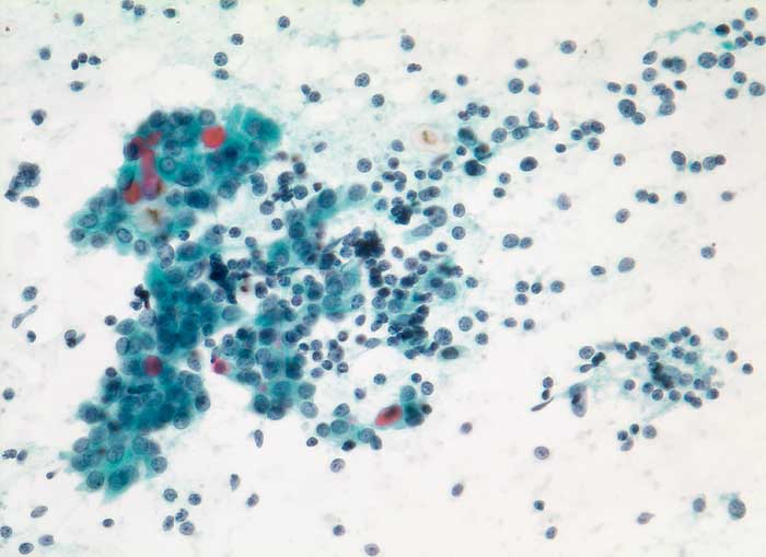
PathoPic ID 6084 - Granulomatöse Thyreoiditis de Quervain
de
Diagnose
Granulomatöse Thyreoiditis de Quervain
Diagnose Gruppe
Entzündung / Reparatur
Topographie
Schilddrüse
Topographie Gruppe
Endokrinium
Beschreibung
Feinnadelpunktion Schilddrüse: Lymphozyten unterschiedlichen Aktivierungsgrades und wenige Schilddrüsenepithelien. Diese besitzen etwas aktivierte Kerne und sind zum Teil mikrofollikulär angeordnet.
Klinik
Unklarer Schilddrüsentumor rechts, im Ultraschall solitär, derb, echoarmer Randraum, unscharf begrenzt, Dm 1cm.
Bilder Typ
Zytologie
Vergrösserung
320
Alter
48
Geschlecht
männlich
Datum
Ersteintrag: 19.01.2003
Update: 04.02.2024
CPS
·
©
2024 Institut für Pathologie Basel
/
Dr. med. Katharina Glatz-Krieger
.
·
v2.1