PathoPic – image database / PathoPic ID 6099 - Endometrioides Adenokarzinom des Uterus

de
Diagnose
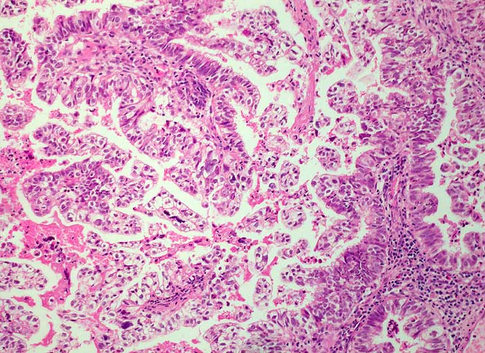
Endometrioides Adenokarzinom des Uterus
Diagnose Gruppe
maligner Tumor
Topographie
Endometrium
Topographie Gruppe
Genitalorgane, weiblich
Beschreibung
Von hochzylindrischem, teils klarzelligem Epithel ausgekleidete maligne Drüsen.
Klinik
Postmenopausale-Blutung> sonographisch V.a. Endometriumkarzinom.
Bilder Typ
Histologie
Vergrösserung
100
Alter
56
Geschlecht
unbekannt
Datum
Ersteintrag: 21.01.2003
Update: 04.02.2024