PathoPic – image database / PathoPic ID 6106 - wenig differenziertes multiples Myelom

de
Diagnose
wenig differenziertes multiples Myelom
Diagnose Gruppe
maligner Tumor
Topographie
Pleuraerguss Zytologie
Topographie Gruppe
Körperhöhlen, Serosa
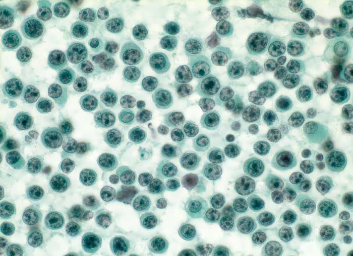
Beschreibung
Pleuraerguss: diffuser Rasen stark atypischer Plasmazellen mit teils exzentrisch gelagerten vergrösserten Kernen und teilweise vergrösserten Nukleolen. Eine schöne Radspeichenstruktur des Chromatins, wie sie für normale Plasmazellen typisch ist, sieht man nur ganz vereinzelt in besser differenzierten Tumorzellen.
Zusatzbefund
Immunzytochemisch sind die Tumorzellen negativ für den T-Linien-spezifischen Marker CD3 bei gleichzeitiger positiver interner Kontrolle in Form von eingestreuten kleinen reaktiven T-Zellen. Auch die Reaktion für den B-Zell-Marker CD20 ist negativ, dagegen reagieren sämtliche atypischen Zellen positiv für den Plasmazellmarker CD138 (Syndecan-1). Dieser Befund beweist zusammen mit dem zytomorphologischen Aspekt die Diagnose eines Plasmozytoms. Es dürfte sich mit hoher Wahrscheinlichkeit um ein extramedulläres Rezidiv des in einer früheren Knochenmarksbiopsie diagnostizierten, wenig differenzierten multiplen Myeloms (damals monoklonal positiv für Kappa-Leichtketten) handeln. Die Reaktion auf den Proliferationsmarker Ki-67 zeigt eine Positivität in ca. 80% der Tumorzellkerne, was auf eine ausgesprochen hohe proliferative Aktivität hinweist
Klinik
Einseitiger Pleuraerguss unklarer Ätiologie (links). p-ANCA positive Vaskulitis mit Nierenbeteiligung. Immunsuppression.
Bilder Typ
Zytologie
Vergrösserung
400
Alter
65
Geschlecht
männlich
Datum
Ersteintrag: 21.01.2003
Update: 04.02.2024