Diagnose
wenig differenziertes multiples Myelom
Diagnose Gruppe
maligner Tumor
Topographie
Pleuraerguss Zytologie
Topographie Gruppe
Körperhöhlen, Serosa
Beschreibung
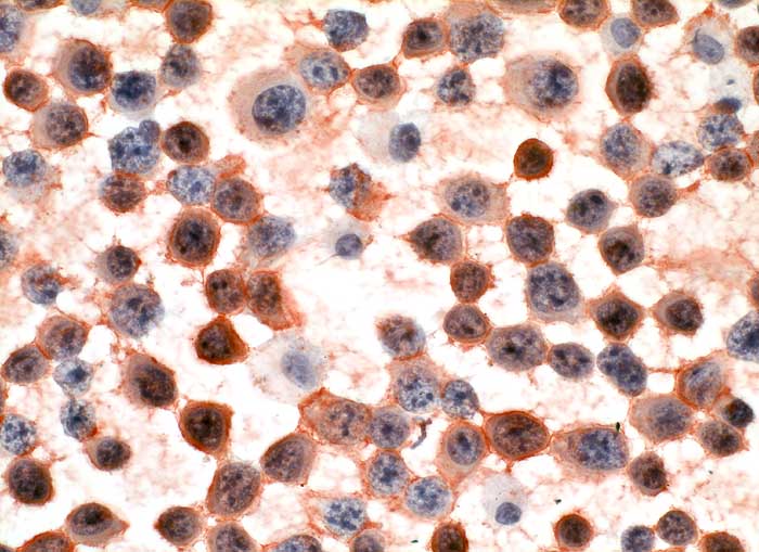
Pleuraerguss: die atypischen Plasmazellen sind positiv für den Plasmazellmarker CD138.
Zusatzbefund
Immunzytochemisch sind die Tumorzellen negativ für den T-Linien-spezifischen Marker CD3 bei gleichzeitiger positiver interner Kontrolle in Form von eingestreuten kleinen reaktiven T-Zellen. Auch die Reaktion für den B-Zell-Marker CD20 ist negativ, dagegen reagieren sämtliche atypischen Zellen positiv für den Plasmazellmarker CD138 (Syndecan-1). Dieser Befund beweist zusammen mit dem zytomorphologischen Aspekt die Diagnose eines Plasmozytoms. Es dürfte sich mit hoher Wahrscheinlichkeit um ein extramedulläres Rezidiv des in einer früheren Knochenmarksbiopsie diagnostizierten, wenig differenzierten multiplen Myeloms (damals monoklonal positiv für Kappa-Leichtketten) handeln. Die Reaktion auf den Proliferationsmarker Ki-67 zeigt eine Positivität in ca. 80% der Tumorzellkerne, was auf eine ausgesprochen hohe proliferative Aktivität hinweist
Klinik
Einseitiger Pleuraerguss unklarer Ätiologie (links). p-ANCA positive Vaskulitis mit Nierenbeteiligung. Immunsuppression.
Immunhistochemie
CD138 (Syndecan)
Datum
Ersteintrag: 21.01.2003
Update: 04.02.2024