Pathopic
HiPaKu
ZyPaKu
PathoBasic
PathoBasic Cytology
Quizzes
Projektinfos
PathoPic - Projekt- und Copyright-Infos
About
Pathopic
HiPaKu
ZyPaKu
PathoBasic
PathoBasic Cytology
Quizzes
PathoPic – image database
/
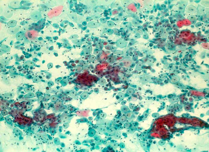
PathoPic ID 6121 - Postpartales Zellbild
de
Diagnose
Postpartales Zellbild
Diagnose Gruppe
Normalbefund
Topographie
Zervix
Topographie Gruppe
Genitalorgane, weiblich
Beschreibung
Zervixabstrich: metaplastische abgerundete Plattenepithelien, Parabasalzellen und Entzündungszellen.
Klinik
Geburt vor 5 Wochen
Bilder Typ
Zytologie
Vergrösserung
100
Alter
33
Geschlecht
unbekannt
Datum
Ersteintrag: 21.01.2003
Update: 04.02.2024
CPS
·
©
2024 Institut für Pathologie Basel
/
Dr. med. Katharina Glatz-Krieger
.
·
v2.1