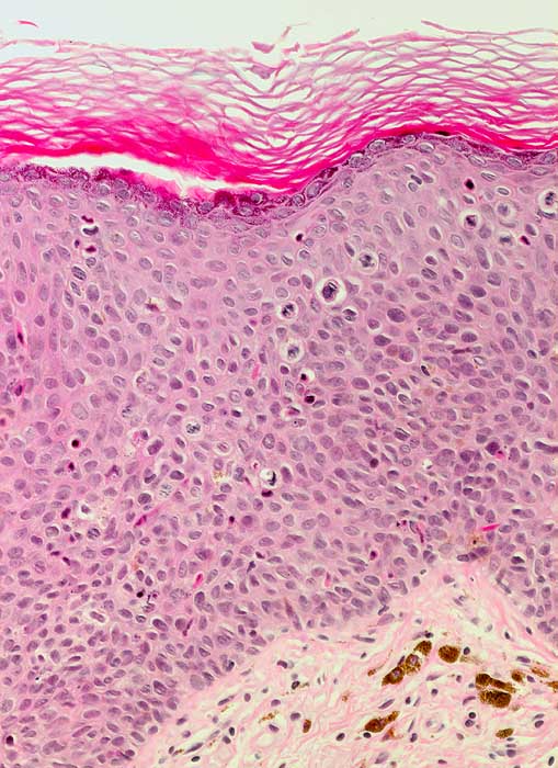
Klassischer Typ der VIN: Hyperkeratotisch verhornende Epidermis mit unvollständiger Ausreifung, dyskeratotische Einzelzellverhornung und Mitosen bis in das obere Drittel der Haut. Basaloide zytoplasmaarme Epithelzellen mit ausgeprägter Pleomorphie. Melanophagen in der oberflächlichen Dermis.