PathoPic – image database / PathoPic ID 6150 - Adenokarzinom der Lunge: Lymphknotenmetastase

de
Diagnose
Adenokarzinom der Lunge: Lymphknotenmetastase
Diagnose Gruppe
maligner Tumor
Topographie
Lymphknoten, mediastinal
Topographie Gruppe
Lymphatische Gewebe, KM, Milz
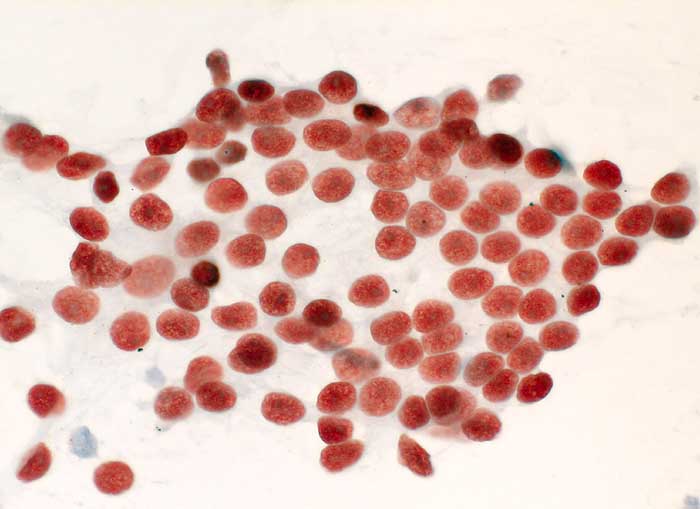
Beschreibung
Transbronchiales Feinnadelpunktat aus mediastinalen Lymphknoten: Zellverband eines Adenokarzinoms mit vesikulären Kernen und einem solitären Makronukleolus. Die Tumorzellkerne sind stark positiv für Thyroid transcription factor (TTF1).
Klinik
Lymphadenopathie unklarer Ätiologie -> Infekt/Neoplasie/Sarkoidose?
Kommentar
TTF-1 wird praktisch ausschliesslich in Lungen- und Schilddrüsenkarzinomen, kaum je aber in anderen Karzinomtypen exprimiert. Falls ein Schilddrüsenkarzinom klinisch ausgeschlossen ist, spricht der Befund somit mit an Sicherheit grenzender Wahrscheinlichkeit für eine primäres Adenokarzinom der Lunge.
Bilder Typ
Zytologie
Immunhistochemie
TTF-1
Vergrösserung
400
Alter
50
Geschlecht
männlich
Datum
Ersteintrag: 24.01.2003
Update: 04.02.2024