PathoPic – image database / PathoPic ID 6165 - Lymphozytose bei Sarkoidose

de
Diagnose
Lymphozytose bei Sarkoidose
Diagnose Gruppe
Systemerkrankung/Immunpathologie
Topographie
Broncho-alveoläre Lavage
Topographie Gruppe
Lunge, Mediastinum mit Thymus
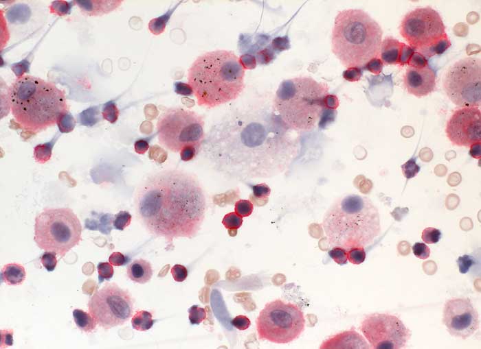
Beschreibung
Bronchoalveoläre Lavage: Zahlreiche Lymphozyten reagieren mit dem T-Zell Marker CD4. Das Zytoplasma der Alveolarmakrophagen zeigt eine schwache unspezifische Anfärbung.
Zusatzbefund
T-Helfer-Lymphozyten (CD4) 88%
T-Supressor-Lymphozyten (CD8) 21%
Helfer / Supressor Verhältnis 4.19
Klinik
V.a. systemische Sarkoidose.
Kommentar
Der immunzytochemisch bestimmte HS-Quotient ist mit 4,19 deutlich erhöht. Dieser Befund ist unter anderem vereinbar mit einer Sarkoidose.
Bilder Typ
Zytologie
Immunhistochemie
CD4
Vergrösserung
400
Alter
42
Geschlecht
unbekannt
Datum
Ersteintrag: 24.01.2003
Update: 04.02.2024