Diagnose
Lymphozytose bei Hypersensitivitätspneumonie
Diagnose Gruppe
Systemerkrankung/Immunpathologie
Topographie
Broncho-alveoläre Lavage
Topographie Gruppe
Lunge, Mediastinum mit Thymus
Beschreibung
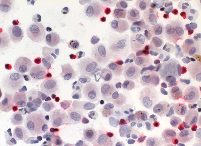
Bronchoalveoläre Lavage: zahlreiche Lymphozyten sind positiv für den T-Zell Marker CD8.
Zusatzbefund
T-Helfer-Lymphozyten (CD4) 29%
T-Supressor-Lymphozyten (CD8) 83%
Helfer / Supressor Verhältnis 0.35
Klinik
Chronischer Husten. Eosinophilie, IgE erhöht.
Kommentar
Der immunzytochemisch bestimmte HS-Quotient ist mit 0,35 klar erniedrigt. Dieser Befund lässt an eine exogen-allergische Alveolitis (Hypersensitivitätspneumonie) denken.
Datum
Ersteintrag: 24.01.2003
Update: 04.02.2024