PathoPic – image database / PathoPic ID 6177 - Hyaline Membranenkrankheit (IRDS)

de
Diagnose
Hyaline Membranenkrankheit (IRDS)
Diagnose Gruppe
angeboren /genetisch/Missbildung
Topographie
Lunge
Topographie Gruppe
Paidopathologie
Beschreibung
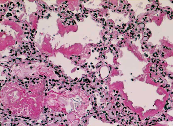
Massive Mekoniumaspiration: Mekonium in einzelnen Alveolarräumen. Die Alveolarsepten sind austapeziert von PAS positiven hyalinen Membranen.
Zusatzbefund
Normalgewichtiges Neugeborenes der 37. SSW. Linksbetonte Hypoplasie beider Lungen. Lungen vor allem im alveolären Stadium.
Klinik
Kongenitale beidseitige Diaphragmahernie bekannt seit 24. Schwangerschaftswoche.
Kommentar
Asphyxie bei Hypoplasie beider Lungen.
Bilder Typ
Histologie
Vergrösserung
100
Alter
-37
Geschlecht
unbekannt
Datum
Ersteintrag: 26.01.2003
Update: 04.02.2024