PathoPic – image database / PathoPic ID 6179 - Diabetische Nephropathie

de
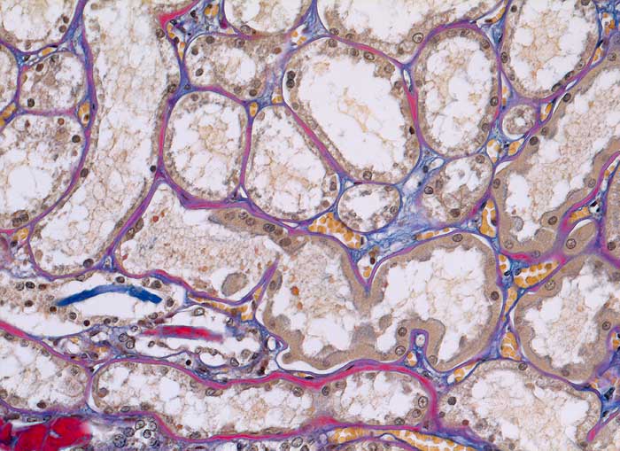
Diagnose
Diabetische Nephropathie
Diagnose Gruppe
Systemerkrankung/Immunpathologie
Topographie
Niere
Topographie Gruppe
Niere, Harnwege
Beschreibung
Verbreiterung der tubulären Basalmembranen.
Klinik
Diabetes mellitus Typ II seit 20 Jahren.
Kommentar
Die tubulointerstitiellen Veränderungen treten gleichzeitig mit den glomerulären Veränderungen auf. Meist findet sich auch eine interstitielle Begleitentzündung.
Bilder Typ
Histologie
Vergrösserung
200
Alter
76
Geschlecht
unbekannt
Datum
Ersteintrag: 26.01.2003
Update: 04.02.2024