PathoPic – image database / PathoPic ID 6182 - Sjögren Syndrom

de
Diagnose
Sjögren Syndrom
Diagnose Gruppe
Systemerkrankung/Immunpathologie
Topographie
Parotis
Topographie Gruppe
Kopf & Hals, Sinnesorgane
Beschreibung
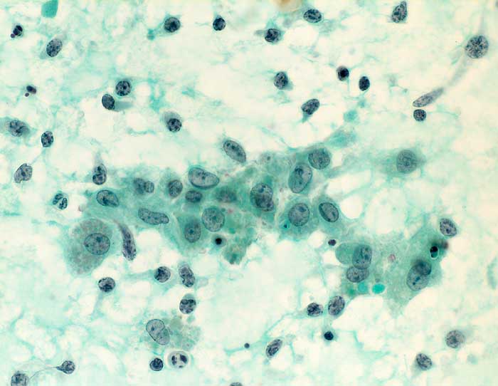
Feinnadelpunktat der rechten Parotis: Lymphozytäres Zellbild und vereinzelte aktivierte Speicheldrüsenepithelien im Bildzentrum.
Zusatzbefund
Die linke Parotis zeigt dasselbe Bild.
Klinik
Bekanntes Sjögren-Syndrom, beidseitige Parotisschwellung. Frage nach MALT Lymphom.
Kommentar
Die Punktate könnten zumindest zum Teil aus Lymphknoten stammen und sind auch vereinbar mit einer chronischen Sialadenitis im Rahmen eines Sjögren-Syndroms. Ein Lymphom ist im vorliegenden Material nicht zu beweisen. Das lymphozytäre Zellbild ist in beiden Punktaten weitgehend identisch, was ebenfalls für einen entzündlichen Prozess spricht. Bei einem MALT-Lymphom wäre eher ein einseitiger Befall zu erwarten.
Bilder Typ
Zytologie
Vergrösserung
400
Alter
67
Geschlecht
unbekannt
Datum
Ersteintrag: 27.01.2003
Update: 04.02.2024