Diagnose
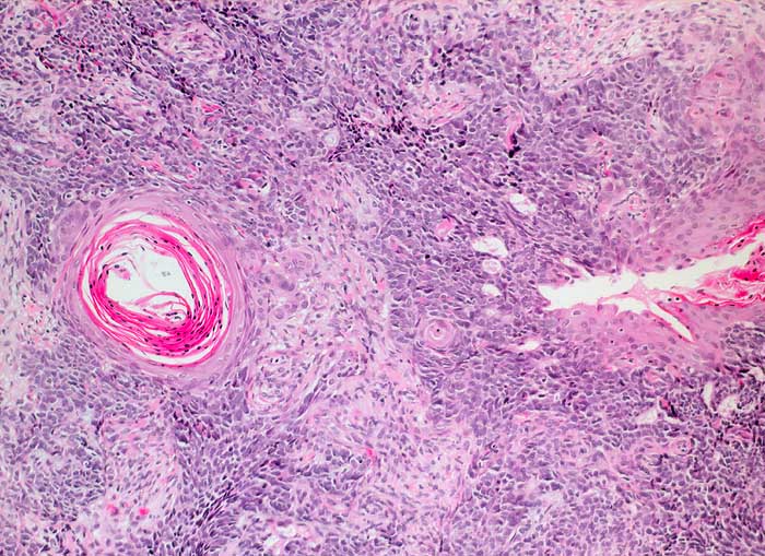
basaloides Plattenepithelkarzinom
Diagnose Gruppe
maligner Tumor
Topographie Gruppe
Genitalorgane, weiblich
Beschreibung
Der Tumor besteht überwiegend aus basaloiden kleinen zytoplasmaarmen Zellen. Der plattenepitheliale Charakter ist aber aufgrund der fokalen Verhornung gut erkennbar.
Klinik
polypöser Tumor der Zervix
Datum
Ersteintrag: 27.01.2003
Update: 04.02.2024