PathoPic – image database / PathoPic ID 6212 - schwere Dysplasie des Plattenepithels CIN III

de
Grad
Diagnose
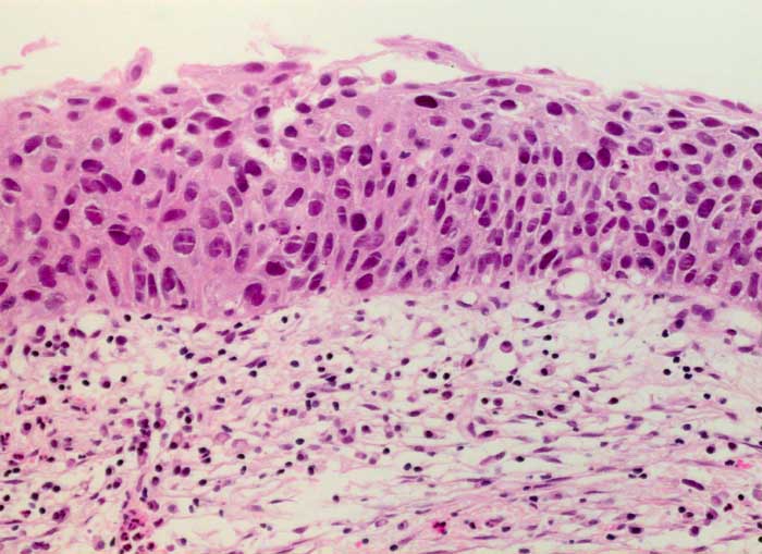
schwere Dysplasie des Plattenepithels CIN III
Diagnose Gruppe
Präneoplasie/ Atypie/ Dignität?
Topographie
Portio
Topographie Gruppe
Genitalorgane, weiblich
Beschreibung
Portiobiopsie: Hyperchromatische und unregelmässig gelagerte Plattenepithelzellen mit vergrösserten Kernen. Lediglich minimale Ausreifung.
Klinik
Leicht blutende Ektopie.
Bilder Typ
Histologie
Vergrösserung
200
Alter
36
Geschlecht
unbekannt
Datum
Ersteintrag: 28.01.2003
Update: 04.02.2024