PathoPic – image database / PathoPic ID 6214 - Nicht klassifizierbare Zylinderepithelien

de
Diagnose
Nicht klassifizierbare Zylinderepithelien
Diagnose Gruppe
Präneoplasie/ Atypie/ Dignität?
Topographie
Portio
Topographie Gruppe
Genitalorgane, weiblich
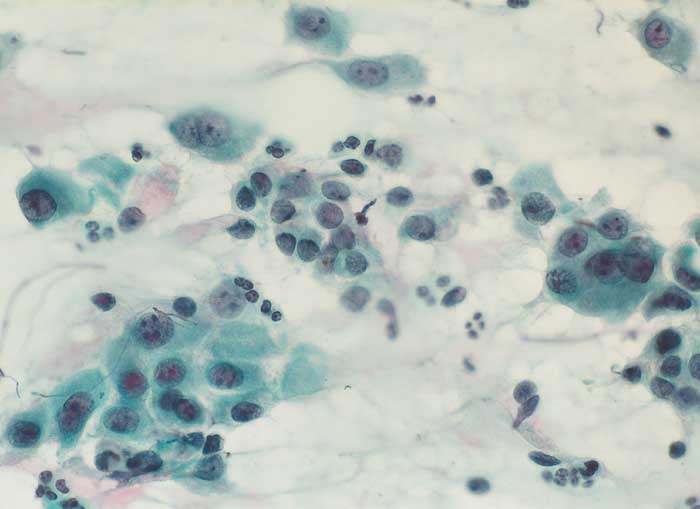
Beschreibung
Portioabstrich: Verbände aus Zylinderzellen. Kerne vesikulär, gross, hell, leicht bis mässig polymorph. Chromatin granulär, Nukleolen vergrössert. Zytoplasma mittelbreit, uncharakteristisch, teils mit Schleimbildung. Keine schweren Atypien. Mässig viele Granulozyten. Hintergrund sauber.
Zusatzbefund
Histologische Diagnose: Äusserer Muttermund: Fibroglandulärer Zervixschleimhautpolyp mit oberflächlicher, erosiver Entzündung. Cavum: Fibroglandulärer Korpusschleimhautpolyp mit einfacher Hyperplasie und fokal komplexer Hyperplasie.
Klinik
Postmenopausale Blutung. Sonographisch suspektes Endometrium.
Kommentar
Zytologische Diagnose: Zahlreiche Zylinderepithelien mit Atypien. Atypische Hyperplasie oder Karzinom nicht sicher ausgeschlossen.
Bilder Typ
Zytologie
Vergrösserung
400
Alter
72
Geschlecht
unbekannt
Datum
Ersteintrag: 28.01.2003
Update: 04.02.2024