PathoPic – image database / PathoPic ID 6221 - Hoch differenziertes endometrioides Karzinom

de
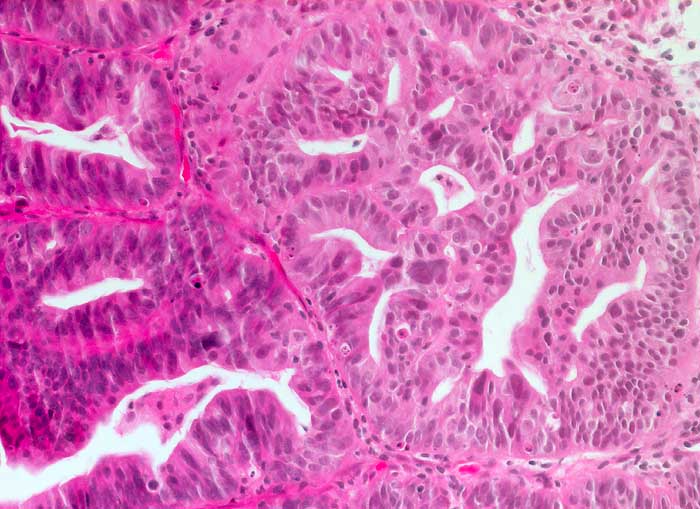
Diagnose
Hoch differenziertes endometrioides Karzinom
Diagnose Gruppe
Präneoplasie/ Atypie/ Dignität?
Topographie
Portio
Topographie Gruppe
Genitalorgane, weiblich
Beschreibung
Das Karzinom bildet komplexe kribriforme Strukturen, aber keine soliden Tumorkomplexe. Die Zellatypien sind leicht bis mässig ausgeprägt. Wie in der Zytologie (ID6220) sieht man auch histologisch einzelne sehr grosse Kerne.
Zusatzbefund
Zytologische Diagnose: Nicht klassifizierbare Zylinderepithelien, eher maligne.
Klinik
Hochaufgebautes Endometrium
Bilder Typ
Histologie
Vergrösserung
200
Alter
78
Geschlecht
unbekannt
Datum
Ersteintrag: 28.01.2003
Update: 04.02.2024