PathoPic – image database / PathoPic ID 6231 - reaktiv veränderte Zylinderepithelien

de
Diagnose
reaktiv veränderte Zylinderepithelien
Diagnose Gruppe
Präneoplasie/ Atypie/ Dignität?
Topographie
Portio
Topographie Gruppe
Genitalorgane, weiblich
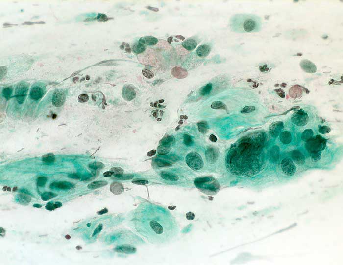
Beschreibung
Portioabstrich: mehrere sehr grosse Kerne in Nachbarschaft zu Zylinderzellen. Chromatin fein granulär. Keine vergrösserten Nukleolen.
Klinik
Langzeitbehandlung mit Provera.
Kommentar
Zytologische Diagnose: Unverdächtig. Reaktive Zellveränderungen mit vergrösserten Kernen, wie unter Gestagen-Behandlung.
Bilder Typ
Zytologie
Vergrösserung
400
Alter
29
Geschlecht
unbekannt
Datum
Ersteintrag: 28.01.2003
Update: 04.02.2024