Diagnose
reaktiv veränderte Zylinderepithelien
Diagnose Gruppe
Präneoplasie/ Atypie/ Dignität?
Topographie Gruppe
Genitalorgane, weiblich
Beschreibung
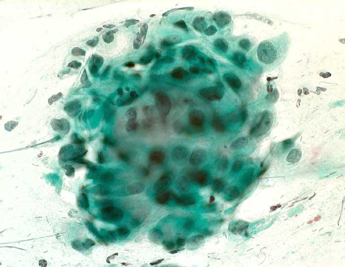
Portioabstrich: mehrere sehr grosse Kerne mit Zylinderzellen und Nacktkernen. Chromatin normal, fein und regelmässig verteilt. Keine vergrösserten Nukleolen.
Klinik
Langzeitbehandlung mit Provera.
Kommentar
Zytologische Diagnose: Unverdächtig. Reaktive Zellveränderungen mit vergrösserten Kernen, wie unter Gestagen-Behandlung.
Datum
Ersteintrag: 28.01.2003
Update: 04.02.2024