Pathopic
HiPaKu
ZyPaKu
PathoBasic
PathoBasic Cytology
Quizzes
Projektinfos
PathoPic - Projekt- und Copyright-Infos
About
Pathopic
HiPaKu
ZyPaKu
PathoBasic
PathoBasic Cytology
Quizzes
PathoPic – image database
/
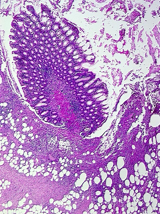
PathoPic ID 625 - Divertikulitis
de
Diagnose
Divertikulitis
Diagnose Gruppe
Entzündung infektiös
Topographie
Kolon Sigma
Topographie Gruppe
Darm, Anus
Beschreibung
Partiell entzündlich zerstörtes Divertikel mit erhaltener Schleimhautinsel.
Bilder Typ
Histologie
Alter
70
Geschlecht
unbekannt
Datum
Ersteintrag: 15.11.2001
Update: 04.02.2024
CPS
·
©
2024 Institut für Pathologie Basel
/
Dr. med. Katharina Glatz-Krieger
.
·
v2.1