Pathopic
HiPaKu
ZyPaKu
PathoBasic
PathoBasic Cytology
Quizzes
Projektinfos
PathoPic - Projekt- und Copyright-Infos
About
Pathopic
HiPaKu
ZyPaKu
PathoBasic
PathoBasic Cytology
Quizzes
PathoPic – image database
/
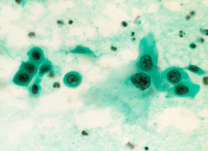
PathoPic ID 6264 - Endometroides Adenokarzinom
de
Diagnose
Endometroides Adenokarzinom
Diagnose Gruppe
maligner Tumor
Topographie
Endometrium
Topographie Gruppe
Genitalorgane, weiblich
Beschreibung
Cavum uteri, Spülflüssigkeit: Hochgradig atypische Epithelien in kleineren Verbänden. Die Kerne sind polymorph. Die Kernmembran ist verdickt und unregelmässig. Das Chromatin ist grob gekörnt. Die Kernfläche ist deutlich vergrössert.
Klinik
Adenokarzinom des Endometriums.
Bilder Typ
Zytologie
Vergrösserung
400
Alter
56
Geschlecht
unbekannt
Datum
Ersteintrag: 30.01.2003
Update: 04.02.2024
CPS
·
©
2024 Institut für Pathologie Basel
/
Dr. med. Katharina Glatz-Krieger
.
·
v2.1