Diagnose
seröses papilläres Adenokarzinom des Endometrium
Diagnose Gruppe
maligner Tumor
Topographie Gruppe
Genitalorgane, weiblich
Beschreibung
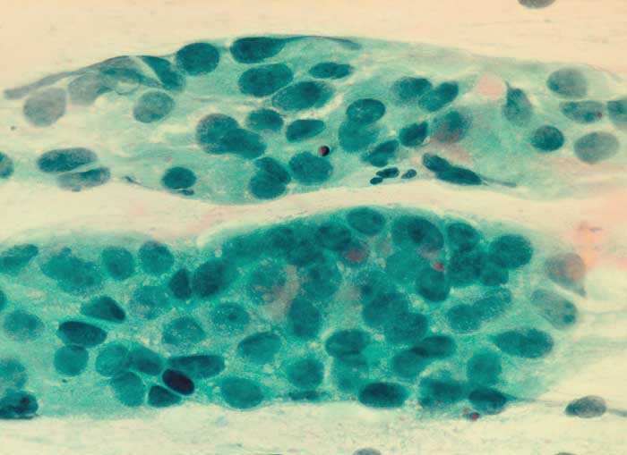
Portioabstrich: Tapetenförmige Verbände atypischer Zellen.
Die Zellen sind etwas grösser als Basalzellen des Plattenepithels
und besitzen deutlich polymorphe Kerne. Die Kernstruktur ist
meist nicht eindeutig beurteilbar. Hie und da finden sich
auffallend grosse Nukleolen.
Zusatzbefund
Histologie: serös papilläres Endometriumkarzinom
Klinik
St.n. Hysteroskopie, Curettage und Endometriumresektion wegen
postmenopausaler-Blutung. Hoch aufgebautes Endomometrium.
Kommentar
Zytologische Diagnose: Massenhaft Verbände von Epithelien mit
Kernatypien.
Im vorliegenden Befund lässt sich nicht sicher entscheiden, ob die
Zellen aus der Portio oder aber aus dem Endometrium stammen. Histologische Abklärung ratsam.
Datum
Ersteintrag: 30.01.2003
Update: 04.02.2024