Diagnose Gruppe
maligner Tumor
Topographie Gruppe
Genitalorgane, weiblich
Beschreibung
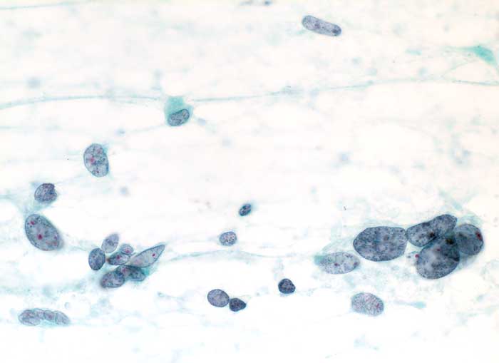
Uterus, Frischgewebsausstriche: In kleinen Gruppen und einzeln liegende, teils nacktkernige Tumorzellen mit fragilem Zytoplasma. Ausgeprägte Polymorphie und Hyperchromasie der grossen Zellkerne. Pfeffer und Salz Chromatin. Mehrere kleine eosinophile Nukleolen.
Klinik
Postmenopausale Blutungsstörung, sonographisch suspekter Endometriumbefund, klinisch V.a. Endometriumkarzinom.
Kommentar
Zytologische Diagnose: Zahlreiche Zellen eines teils spindelzelligen malignen Tumors.
Der spindelzellige, teils deutlich sarkomatoide Aspekt spricht am ehesten für einen malignen Mischtumor.
Datum
Ersteintrag: 31.01.2003
Update: 04.02.2024