PathoPic – image database / PathoPic ID 6325 - malignes Pleuramesotheliom

de
Diagnose
malignes Pleuramesotheliom
Diagnose Gruppe
maligner Tumor
Topographie
Pleuraerguss Zytologie
Topographie Gruppe
Körperhöhlen, Serosa
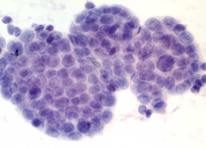
Beschreibung
Pleurapunktat: Die Tumorzellkerne sind negativ für den Thyroid Transcription Factor 1.
Zusatzbefund
Immunzytochemisch sind die im Vorbericht beschriebenen Tumorzellen eindeutig positiv für Lu-5, Calretinin und Vimentin, dagegen komplett negativ für Ber-EP4 und CEA und TTF1. Diese Konstellation ist sehr typisch für ein malignes Pleuramesotheliom.
Klinik
Linksseitiger Pleuraerguss unklarer Aetiologie - Exsudat, Hämatothorax -> maligne Zellen?
Kommentar
Zytologische Diagnose: Massenhaft Zellen eines malignen Tumors. Der Befund könnte unter anderem zu einem Mesotheliom passen.
Bilder Typ
Zytologie
Immunhistochemie
TTF-1
Vergrösserung
400
Alter
82
Geschlecht
männlich
Datum
Ersteintrag: 31.01.2003
Update: 04.02.2024