PathoPic – image database / PathoPic ID 6331 - Hodgkin Lymphom: Reed-Sternberg Zelle

de
Diagnose
Hodgkin Lymphom: Reed-Sternberg Zelle
Diagnose Gruppe
maligner Tumor
Topographie
Lymphknoten, Kopf-cervikal
Topographie Gruppe
Lymphatische Gewebe, KM, Milz
Beschreibung
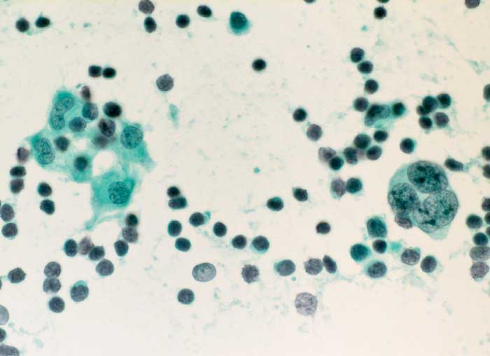
Frischgewebsausstrich Halslymphknoten links: Gemischtes reaktives Infiltrat bestehend aus Lymphozyten und Histiozyten. Zweikernige Reed-Sternberg Zelle mit grossen Nukleolen.
Zusatzbefund
Histologisch Hodgkin Lymphom, Mischzelltyp.
Klinik
Zervikale Lymphadenopathie
Kommentar
Zytologische Diagnose: Gemischtzelliges lymphozytäres Zellbild mit einigen teils doppelkernigen atypischen blastären Zellen, vereinbar mit Morbus Hodgkin (am ehesten gemischtzelliger Typ).
Bilder Typ
Zytologie
Vergrösserung
400
Alter
23
Geschlecht
männlich
Datum
Ersteintrag: 31.01.2003
Update: 04.02.2024