PathoPic – image database / PathoPic ID 6339 - Karzinoid

de
Diagnose
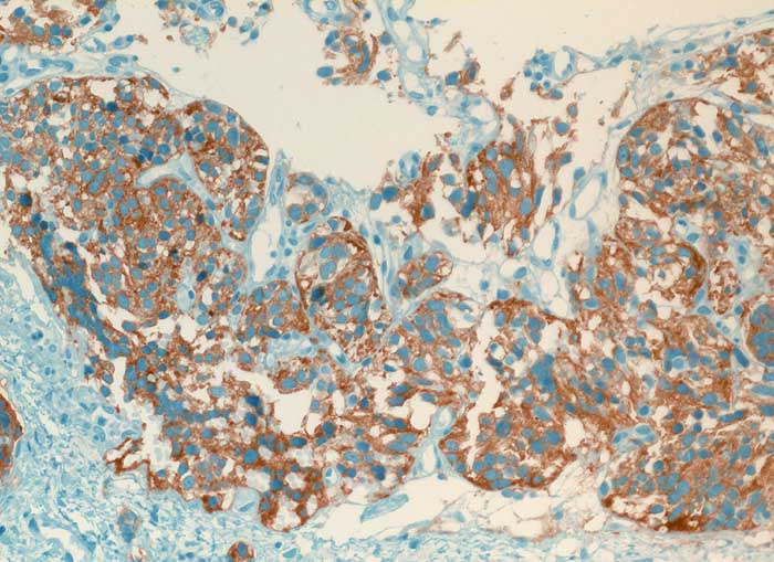
Karzinoid
Diagnose Gruppe
benigner Tumor
Topographie
Lunge
Topographie Gruppe
Lunge, Mediastinum mit Thymus
Beschreibung
Die spindeligen Tumorzellen exprimieren den endokrinen Marker Synaptophysin.
Klinik
V. a. Tumor pulmonal
Bilder Typ
Histologie
Immunhistochemie
Synaptophysin
Vergrösserung
200
Alter
58
Geschlecht
männlich
Datum
Ersteintrag: 31.01.2003
Update: 04.02.2024