PathoPic – image database / PathoPic ID 6340 - Karzinoid

de
Diagnose
Karzinoid
Diagnose Gruppe
benigner Tumor
Topographie
Lunge
Topographie Gruppe
Lunge, Mediastinum mit Thymus
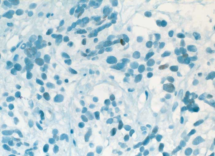
Beschreibung
Die spindeligen Tumorzellkerne sind fokal schwach positiv für TTF1
Klinik
V. a. Tumor pulmonal
Bilder Typ
Histologie
Immunhistochemie
TTF-1
Vergrösserung
400
Alter
58
Geschlecht
männlich
Datum
Ersteintrag: 31.01.2003
Update: 04.02.2024