PathoPic – image database / PathoPic ID 6341 - mässig differenziertes Plattenepithelkarzinom

de
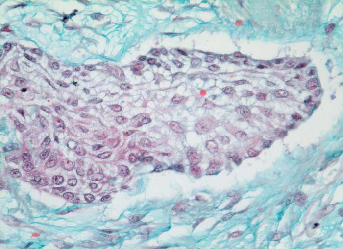
Diagnose
mässig differenziertes Plattenepithelkarzinom
Diagnose Gruppe
maligner Tumor
Topographie
Lunge
Topographie Gruppe
Lunge, Mediastinum mit Thymus
Beschreibung
Solider Tumorzellverband ohne erkennbare Verhornung. Die Desmosomen zwischen den Zellen sind sehr gut erkennbar. Reichlich desmoplastisches Stroma.
Bilder Typ
Histologie
Vergrösserung
320
Alter
69
Geschlecht
unbekannt
Datum
Ersteintrag: 02.02.2003
Update: 04.02.2024