Diagnose
Kleinzelliges Karzinom
Diagnose Gruppe
maligner Tumor
Topographie Gruppe
Lunge, Mediastinum mit Thymus
Beschreibung
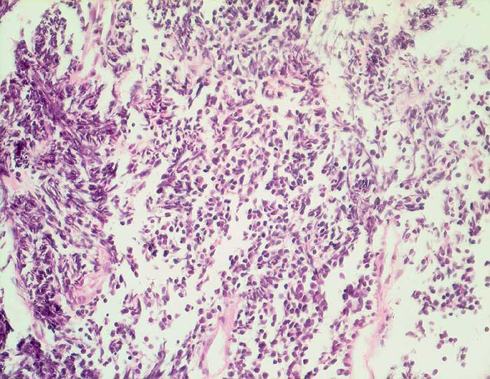
Rasen kleiner nacktkerniger Tumorzellen mit ausgeprägten Quetschartefakten aufgrund fragiler Kerne.
Klinik
Tumor im Lungenmittellappen
Datum
Ersteintrag: 03.02.2003
Update: 04.02.2024