Diagnose
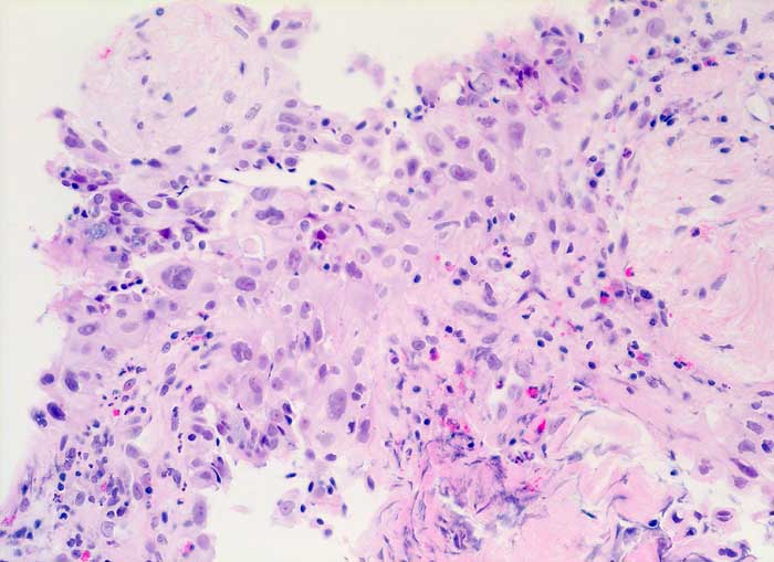
strahleninduzierte Kernatypien
Diagnose Gruppe
Therapiefolgen
Topographie Gruppe
Lunge, Mediastinum mit Thymus
Beschreibung
Ausgeprägte Kernpolymorphie und Kernvergrösserung des respiratorischen Epithels bei erhaltener Kern-Zytoplasmarelation.
Klinik
NSCLC neoadjuvante Therapie
Datum
Ersteintrag: 08.02.2003
Update: 04.02.2024