PathoPic – image database / PathoPic ID 6362 - strahleninduzierte Kernatypien

de
Diagnose
strahleninduzierte Kernatypien
Diagnose Gruppe
Therapiefolgen
Topographie
Bronchus
Topographie Gruppe
Lunge, Mediastinum mit Thymus
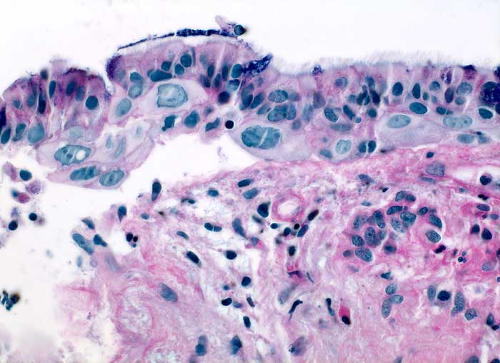
Beschreibung
Ausgeprägte Kernpolymorphie und Kernvergrösserung vor allem der basalen Zellen des respiratorischen Epithels und gestörte Polarität. Der erhaltene Flimmerhaarbesatz und die normale Kern-Zytoplasma Relation sprechen für reaktive Veränderungen.
Klinik
NSCLC neoadjuvante Therapie
Bilder Typ
Histologie
Vergrösserung
400
Alter
60
Geschlecht
männlich
Datum
Ersteintrag: 08.02.2003
Update: 04.02.2024