PathoPic – image database / PathoPic ID 6367 - Adenoidzystisches Karzinom

de
Diagnose
Adenoidzystisches Karzinom
Diagnose Gruppe
maligner Tumor
Topographie
Transbronchiale FNP
Topographie Gruppe
Lunge, Mediastinum mit Thymus
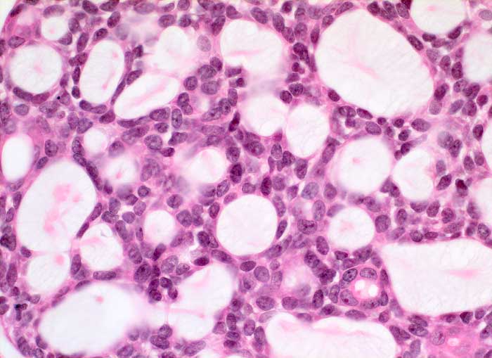
Beschreibung
Kribriformer zelldichter Tumor. Die Tumorzellen enthalten ovale oder eckige dunkle Kerne mit einem kleinen Nukleolus und sind zytoplasmaarm. Die zystischen Strukturen enthalten ein mucoides Material.
Klinik
Metastasierendes adenoidzystisches Karzinom der Parotis. Lungenrundherd.
Bilder Typ
Histologie
Vergrösserung
400
Alter
45
Geschlecht
unbekannt
Datum
Ersteintrag: 10.02.2003
Update: 04.02.2024