Diagnose
Adenoidzystisches Karzinom
Diagnose Gruppe
maligner Tumor
Topographie
Transbronchiale FNP
Topographie Gruppe
Lunge, Mediastinum mit Thymus
Beschreibung
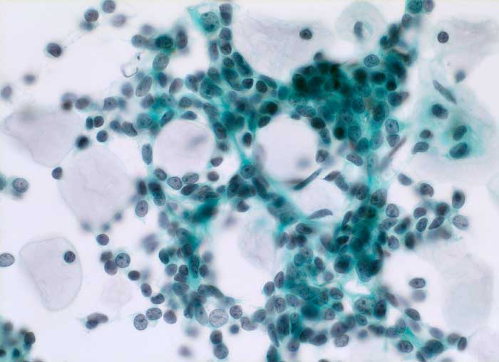
Transbronchiale Lungenbiopsie: Kribriformer Verband atypischer Zellen. Diese sind nur mässig gross und besitzen ovale oder eckige fein
granulierte dunkle Kerne. Der Zytoplasmaleib ist schmal und uncharakteristisch
zyanophil. Zum Teil umschliessen die lockeren Zellverbände graue
globuläre homogene mucoide Massen.
Klinik
Metastasierendes adenoidzystisches Karzinom der Parotis. Lungenrundherd.
Datum
Ersteintrag: 10.02.2003
Update: 04.02.2024