Diagnose
Adenoidzystisches Karzinom
Diagnose Gruppe
maligner Tumor
Topographie
Transbronchiale FNP
Topographie Gruppe
Lunge, Mediastinum mit Thymus
Beschreibung
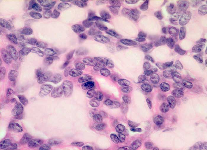
Kribriformer Tumor aus kleinen dichtstehenden zytoplasmaarmen Tumorzellen mit hyperchromatischen eckigen oder rundlichen Kernen mit einem kleinen eosinophilen Nukleolus. Die zystischen Hohlräume enthalten eine eosinophile homogene Masse.
Klinik
Metastasierendes adenoidzystisches Karzinom der Parotis. Lungenrundherd.
Datum
Ersteintrag: 10.02.2003
Update: 04.02.2024