Diagnose
Kleinzelliges Karzinom
Diagnose Gruppe
Präneoplasie/ Atypie/ Dignität?
Topographie
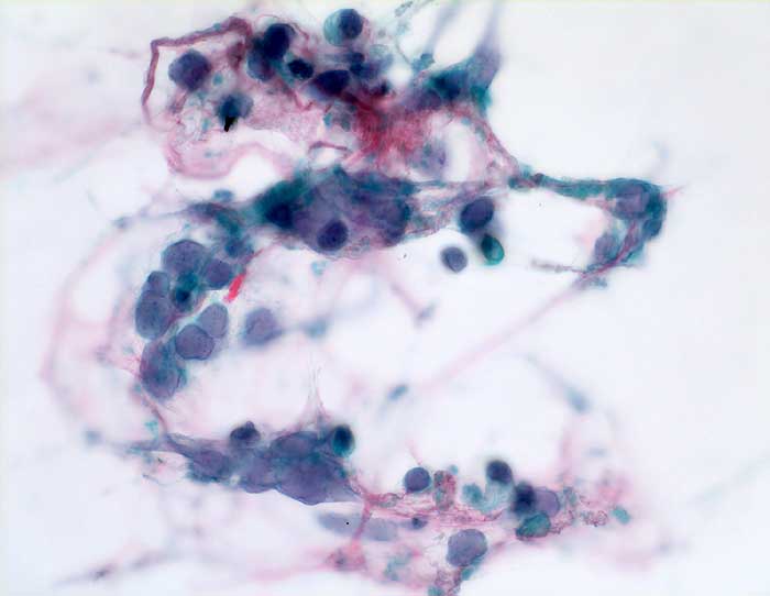
Bronchialbürste, Zytologie
Topographie Gruppe
Lunge, Mediastinum mit Thymus
Beschreibung
Bronchialbürste: Schlecht erhaltene nacktkernige Tumorzellen mit hyperchromatischen Kernen bilden kleine Verbände.
Klinik
Totale Stenose des rechten Hauptbronchus mit Kompression der Vena Cava superior. Kleinzelliges Karzinom? Lymphom?
Datum
Ersteintrag: 10.02.2003
Update: 04.02.2024