PathoPic – image database / PathoPic ID 6376 - reaktive Atypien des Bronchialepithels

de
Diagnose
reaktive Atypien des Bronchialepithels
Diagnose Gruppe
Präneoplasie/ Atypie/ Dignität?
Topographie
Bronchialbürste, Zytologie
Topographie Gruppe
Lunge, Mediastinum mit Thymus
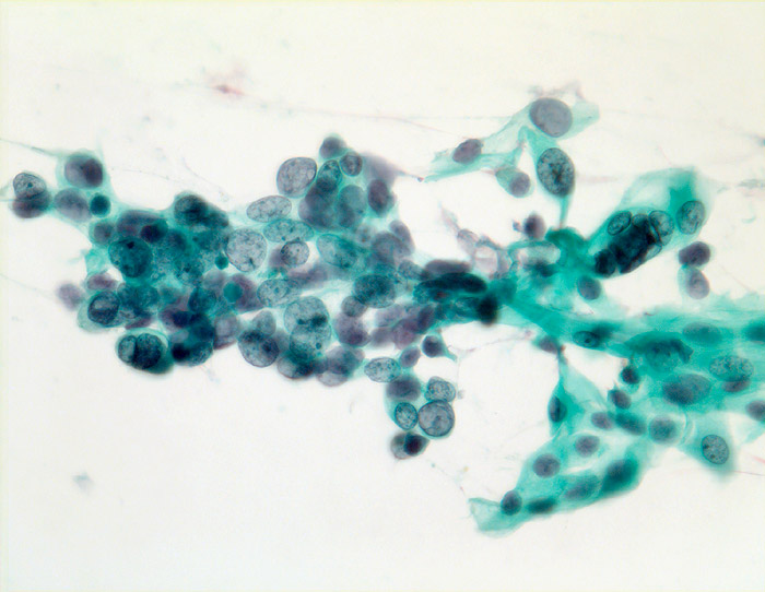
Beschreibung
Lockerer Verband grosser, teils mehrkerniger Zellen mit vesikulären Kernen,leicht vergröbertem Chromatin und gut erkennbaren Nukleolen.
Zusatzbefund
Kleinzelliges Karzinom
Klinik
Totale Stenose des rechten Hauptbronchus mit Kompression der Vena Cava superior. Kleinzelliges Karzinom? Lymphom?
Kommentar
An anderer Stelle im gleichen Ausstrich fanden sich Verbände eines kleinzelligen Karzinoms. Die hier gezeigten atypischen Zellen sind reaktiv veränderte respiratorische Epithelien als Folge der Karzinominfiltrate. Beim Screenen wurden diese reaktiv atypischen Zellverbände als Karzinom interpretiert während die unscheinbaren Verbände des kleinzelligen Karzinoms übersehen wurden.
Bilder Typ
Zytologie
Vergrösserung
200
Alter
68
Geschlecht
unbekannt
Datum
Ersteintrag: 10.02.2003
Update: 04.02.2024