PathoPic – image database / PathoPic ID 6377 - Kleinzelliges Karzinom

de
Diagnose
Kleinzelliges Karzinom
Diagnose Gruppe
maligner Tumor
Topographie
Lunge
Topographie Gruppe
Lunge, Mediastinum mit Thymus
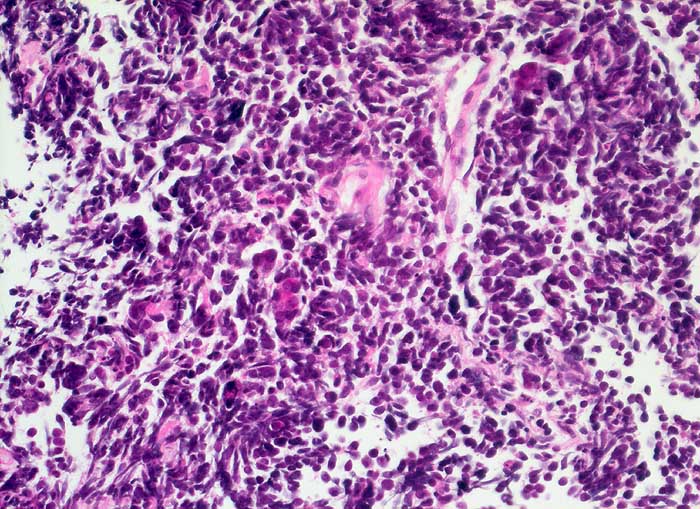
Beschreibung
Typischer Aspekt des kleinzelligen Tumors mit dicht gelagerten kleinen Tumorzellen mit fragilen Kernen und kaum erkennbarem Zytoplasma.
Klinik
Totale Stenose des rechten Hauptbronchus mit Kompression der Vena Cava superior. Kleinzelliges Karzinom? Lymphom?
Bilder Typ
Histologie
Vergrösserung
400
Alter
68
Geschlecht
unbekannt
Datum
Ersteintrag: 10.02.2003
Update: 04.02.2024