PathoPic – image database / PathoPic ID 6378 - Kleinzelliges Karzinom

de
Diagnose
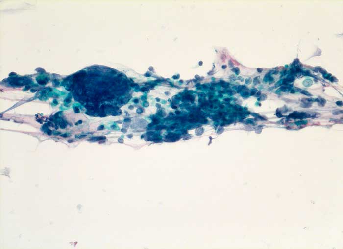
Kleinzelliges Karzinom
Diagnose Gruppe
maligner Tumor
Topographie
Bronchialbürste, Zytologie
Topographie Gruppe
Lunge, Mediastinum mit Thymus
Beschreibung
Zwischen reaktiv veränderten Bronchialepithelien versteckte nacktkernige Tumorzellen mit schlecht erhaltenen Kernen.
Klinik
Totale Stenose des rechten Hauptbronchus mit Kompression der Vena Cava superior. Kleinzelliges Karzinom? Lymphom?
Kommentar
Zytologische Diagnose: kleinzelliges Karzinom
Bilder Typ
Zytologie
Vergrösserung
200
Alter
68
Geschlecht
unbekannt
Datum
Ersteintrag: 10.02.2003
Update: 04.02.2024