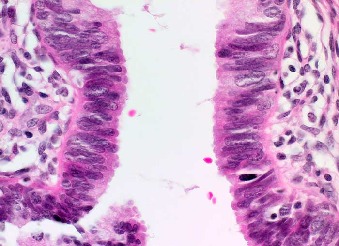
Diagnose
Adenocarcinoma in situ, AIS
Diagnose Gruppe
Präneoplasie/ Atypie/ Dignität?
Topographie Gruppe
Genitalorgane, weiblich
Beschreibung
Von atypischem mehrreihigen Epithel ausgekleidete Zervixdrüsen. Die Kerne überlagern sich teilweise, sind vergrössert und hyperchromatisch.
Klinik
Langzeitbehandlung mit Provera.
Datum
Ersteintrag: 11.02.2003
Update: 04.02.2024