Diagnose
diffuses grosszelliges B-Zelllymphom
Diagnose Gruppe
maligner Tumor
Topographie Gruppe
Niere, Harnwege
Beschreibung
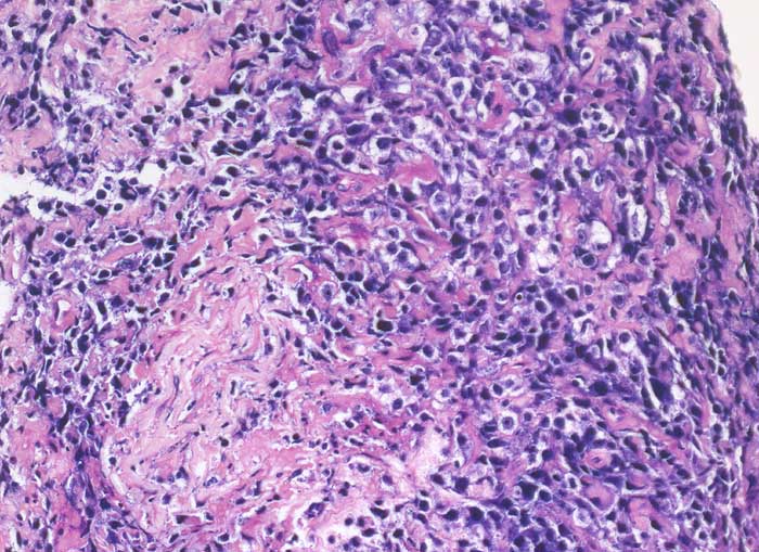
Nierenhilusweichteile: diffuse Infiltrate atypischer lymphoider Zellelemente mit klarem Zytoplasmasaum.
Zusatzbefund
Immunphänotypisch sind die Tumorzellen positiv für den Pan-B-Zell-Marker CD20 und fokal positiv für CD10. Daneben reaktive CD3 und CD5 positive T-Zellen. Negativ sind Antikörper gegen Zytokeratine sowie gegen Nierenzell-assoziierte Antigene. Die Prolfierationsrate ist hoch, stellenweise über 80%.
Klinik
Nieren-Tumor rechts. DD: Urothel-Ca.
Datum
Ersteintrag: 11.02.2003
Update: 04.02.2024