PathoPic – image database / PathoPic ID 6410 - Langerhanszell Histiozytose

de
Diagnose
Langerhanszell Histiozytose
Topographie
Broncho-alveoläre Lavage
Topographie Gruppe
Lunge, Mediastinum mit Thymus
Beschreibung
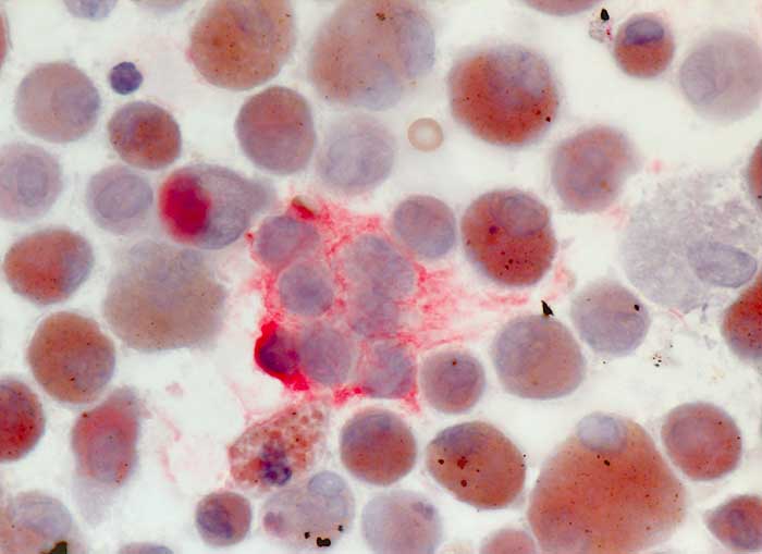
Bronchoalveoläre Lavage: Kleine Gruppe von CD1a positiven Langerhanszellen.
Zusatzbefund
CD1a positive Langerhanszellen und elektronenmikroskopischer Nachweis von Birbeck-Granula.
Klinik
V.a. Langerhanszellhistiozytose
Bilder Typ
Zytologie
Immunhistochemie
CD1a
Vergrösserung
630
Alter
47
Geschlecht
unbekannt
Datum
Ersteintrag: 12.02.2003
Update: 04.02.2024