PathoPic – image database / PathoPic ID 6411 - Langerhanszell Histiozytose

de
Diagnose
Langerhanszell Histiozytose
Topographie
Broncho-alveoläre Lavage
Topographie Gruppe
Lunge, Mediastinum mit Thymus
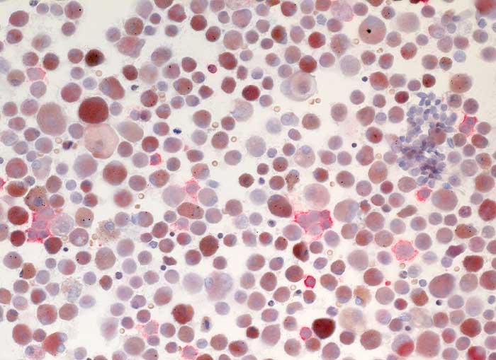
Beschreibung
Bronchoalveoläre Lavage: Einzeln oder in kleinen Gruppen liegende CD1a positive Langerhanszellen neben CD1a negativen Alveolarmakrophagen.
Zusatzbefund
CD1a positive Langerhanszellen und elektronenmikroskopischer Nachweis von Birbeck-Granula.
Klinik
V.a. Langerhanszellhistiozytose
Bilder Typ
Zytologie
Immunhistochemie
CD1a
Vergrösserung
200
Alter
47
Geschlecht
unbekannt
Datum
Ersteintrag: 12.02.2003
Update: 04.02.2024