PathoPic – image database / PathoPic ID 6412 - Zytomegalievirusinfekt

de
Diagnose
Zytomegalievirusinfekt
Diagnose Gruppe
Entzündung infektiös
Topographie
Broncho-alveoläre Lavage
Topographie Gruppe
Lunge, Mediastinum mit Thymus
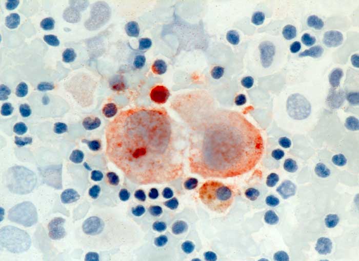
Beschreibung
Zwei zytomegale Zellen in der Bildmitte reagieren stark positiv mit einem Antikörper gegen das Zytomegalievirus.
Zusatzbefund
Pneumozystis Pneumonie
Klinik
HIV C3. Pneumocystis Pneumonie. Persistierende Symptomatik (Husten, Fieber). DD: Andere Erreger (Mykoplasmen, CMV, Tbc).
Bilder Typ
Zytologie
Immunhistochemie
CMV
Vergrösserung
630
Alter
42
Geschlecht
männlich
Datum
Ersteintrag: 12.02.2003
Update: 04.02.2024