PathoPic – image database / PathoPic ID 6449 - Morbus Whipple

de
Diagnose
Morbus Whipple
Diagnose Gruppe
Entzündung infektiös
Topographie
Lymphknoten, mediastinal
Topographie Gruppe
Lymphatische Gewebe, KM, Milz
Beschreibung
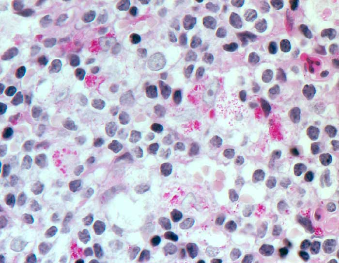
Geschwollene Histiozyten enthalten PAS positive Partikel.
Klinik
Seit drei Jahren rezidivierende Fieberschübe, Arthralgien und Gewichtsverlust.
Kommentar
Morphologisch lässt sich die Erkrankung vor allem im Gastrointestinaltrakt, in den mesenterialen Lymphknoten, im Herz und im Zentralnervensystem nachweisen. Beweisend ist die Dünndarmbiopsie, welche eine Akkumulation von Makrophagen zeigt. Diese enthalten Diastase-PAS positive sichelförmige Partikel, die elektronenmikroskopisch 1.5 bis 2.5 Mikrometer grosse Bakterien enthalten. Diese Bakterien lassen sich auch in intestinalen Epithelien, lymphatischen und kapillären Endothelzellen, glatten Muskelzellen und neutrophilen Granulozyten nachweisen. Es können sich auch sarkoidoseähnliche Granulome ausbilden, die nur wenige Erreger enthalten. Tropheryma Whippelii gehört zu den Aktinomyceten. PAS positive Bakterien persistieren lange nach Verschwinden der Symptome. Das Bakterium kann mit PCR nachgewiesen werden. Mykobakterien sollten mit der Ziehl Neelsen Färbung ausgeschlossen werden.
Bilder Typ
Histologie
Vergrösserung
630
Alter
40
Geschlecht
männlich
Datum
Ersteintrag: 21.02.2003
Update: 04.02.2024