PathoPic – image database / PathoPic ID 6452 - onkozytäre mikrofollikuläre Neoplasie

de
Diagnose
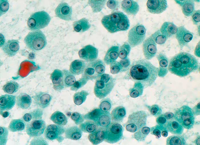
onkozytäre mikrofollikuläre Neoplasie
Diagnose Gruppe
Präneoplasie/ Atypie/ Dignität?
Topographie
Schilddrüse
Topographie Gruppe
Endokrinium
Beschreibung
Massenhaft onkozytäre Zellen mit relativ breitem, deutlich fein granuliertem Zytoplasma und unterschiedlich grossen, exzentrisch gelegenen vesikulären Kernen. Sie enthalten einen besonders auffälligen grossen Nukleolus. Wenig Kolloid.
Zusatzbefund
Histologische Diagnose: Minimal invasives onkozytäres Karzinom der Schilddrüse. Herdförmige einzelne Tumoreinbrüche in kleine Gefässe der Tumorkapsel. Umschriebene Kapselarrosion. pT3
Klinik
Schilddrüsenlappen links: inhomogener Knoten, Durchmesser 8cm.
Kommentar
Zytologische Diagnose: Massenhaft Zellen und Zellverbände einer onkozytären Neoplasie mit Kernatypien.
Die Zellatypien, insbesondere die ungewönlich grossen Nukleolen sind suspekt auf ein onkozytäres Karzinom. Eine sichere Unterscheidung zwischen einem onkozytären Karzinom und einem onkozytären Adenom mit Atypien ist aber nicht möglich.
Bilder Typ
Zytologie
Vergrösserung
400
Alter
60
Geschlecht
männlich
Datum
Ersteintrag: 21.02.2003
Update: 04.02.2024