PathoPic – image database / PathoPic ID 6481 - kleinzelliges Bronchuskarzinom

de
Diagnose
kleinzelliges Bronchuskarzinom
Diagnose Gruppe
maligner Tumor
Topographie
Pleuraerguss Zytologie
Topographie Gruppe
Körperhöhlen, Serosa
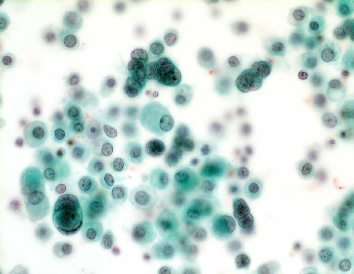
Beschreibung
Pleuraerguss: neben zahlreichen Makrophagen und Mesothelzellen kleine dichte Aggregate atypischer Tumorzellen mit Kernen, die etwa doppelt so gross sind wie die Kerne von Makrophagen. Das Zytoplasma ist sehr schmal. Die Kerne liegen dicht an dicht aneinander gelagert und verformen sich gegenseitig (nuclear molding). Polymorphe Kerne mit Pfeffer und Salz Chromatin.
Bilder Typ
Zytologie
Vergrösserung
400
Alter
54
Geschlecht
männlich
Datum
Ersteintrag: 02.03.2003
Update: 04.02.2024